健康診断・特定健診

Health check・specific check

健康診断・特定健康診査について

健康診断・特定健診は予約なしで可能です。10時間の絶食(糖分の入っていない水分可)にて下記時間内にお越しください。
但し外来の混雑状況によりお断りする可能性もございます。ご予定がお決まりの際はご予約をお勧めいたします。

受付時間 10:00~11:00 / 15:00~17:30

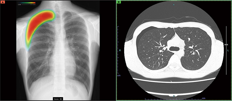
AI機能搭載レントゲン装置 CARNACORE

レントゲン装置CARNACORE

AI技術で、より精度の高い画像診断を

当院では、富士フイルム社製の最新AI技術を搭載した画像診断ワークステーション「CarnaCore(カルナコア)」を導入しています。
このシステムでは、AIが撮影画像を瞬時に解析します。肺がんの疑いがある結節、肺炎、気胸といった見落としがちな微細なサインを自動検出し、医師の診断を強力にバックアップします。
医師による確かな読影に、客観的なAI解析を組み合わせることで、病変の早期発見と診断精度の向上に努め、より安心で効率的な診療体制を提供いたします。

特徴

  • 高精度な解析: AI技術(Deep Learning)が医師の画像診断を強力にバックアップ。
  • 低線量・高画質: 患者様の被ばく量を抑えつつ、診断に最適な鮮明な画像を取得。
  • スピーディーな対応: 撮影から画像確認までが迅速で、お待たせしません。

症例別ヒートマップとCTの例

健康診断

健康診断イメージ画像

労働衛生規則に基づいた雇用時健康診断を行っております。
診断内容は下記となります。

※詳しくはお電話にてお問合せください。
※その他、採血内容等追加がございましたら受付にお申し出ください。

健康診断A 
10,000(税込み・文書料込み)

定期健康診断・法定検査

  • 診察
  • 身長・体重・BMI
  • 血圧測定
  • 尿検査
  • 視力検査
  • 聴力検査(オージオ)
  • 血液検査
    (貧血・肝機能・コレステロール・中性脂肪・血糖)
  • 心電図
  • 胸部レントゲン

健康診断B 
6,000(税込み・文書料込み)

定期健康診断・法定検査

  • 診察
  • 身長・体重・BMI
  • 血圧測定
  • 尿検査
  • 血液検査(貧血・肝機能・コレステロール・中性脂肪・血糖・クレアチニン・尿酸)

追加検査

定期健康診断・法定検査

  • 動脈硬化検査
  • 前立腺がん(PSA)
  • 肝炎ウイルス(B型、C型)
  • ヘリコバクターピロリ採血

特定健康診査

特定健康診査イメージ画像

横浜市の特定健康診査、神奈川県内国保組合の健康診査、各種社会保険・県外国保組合の健康診査を行っております。

※医師の判断により心電図・貧血検査が追加されます。
※眼底検査は行っておりません。
※結果は後日対面(来院)で直接報告。
※料金は受診券参照。

健康保険組合・協会けんぽ・共済組合の方

保険証・受診券(集合Bと記載があるもの)を持参してください。

県内国保組合の方

保険証・受診券(集合Bと記載があるもの)・問診票を持参してください。
対象になる組合の方は下記になります。

  • 医師国保組合
  • 歯科医師国保組合
  • 薬剤師国保組合
  • 食品衛生国保組合
  • 建設業国保組合

横浜市特定健康診査

保険証・受診券を持参してください。基本項目は下記になります。
また、必要時心電図を実施いたします。

 

  • 身長体重
  • 血圧
  • 腹囲
  • 採血
  • 尿検査